pattern

Les risques en orthodontie

Comme tout traitement médical, les traitements d’orthodontie présentent des bénéfices, des contraintes, mais aussi des risques qu’il convient d’apprécier. Ces risques sont portés à la connaissance de nos patients ou de leurs parents s’ils sont mineurs, dans un document spécifique : le consentement éclairé. 

Un traitement orthodontique peut comporter certains risques que l’orthodontiste essayera d’éviter : 

 

La résorption radiculaire / Rhizalyse

 

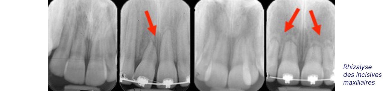
Les racines de certaines dents peuvent raccourcir ou « s’user » durant un traitement d’orthodontie. C’est ce que nous appelons la résorption des racines, résorption radiculaire ou rhizalyse. 

 

Ce processus est normal sur les dents de lait, lorsque les racines des dents temporaires disparaissent progressivement pour faire place aux dents permanentes qui les remplaceront. 

 

Cependant ce phénomène de résorption est anormal sur les dents permanentes et peut apparaitre avec ou sans traitement orthodontique. Certaines publications ont montré que ce processus peut légèrement affecter toutes les dents mais il est à peine perceptible et sans conséquence. 

 

Une dent incluse en contact avec la racine d’une dent voisine, des déplacements dentaires trop rapides, une force appliquée trop importante, la succion du pouce associée à un traitement d’orthodontie peuvent être à l’origine d’une résorption radiculaire. 

Ce phénomène est irréversible ; une racine plus courte ne « repoussera » pas. Une résorption très importante peut, dans les cas extrêmes et rare, causer la perte d’une dent.

L’orthodontiste pourra alors être mené à modifier le plan de traitement de façon à diminuer l’impact de la résorption tout en visant un résultat acceptable.

 

C’est pourquoi un traitement d’orthodontie doit respecter des impératifs parodontaux avec des forces légères et continues ainsi qu’une hygiène bucco-dentaire irréprochable.

 

L’orthodontie n’est pas la seule cause possible de ce problème. Blessures, coups, troubles hormonaux ou endocriniens, antécédents héréditaires et autres facteurs inconnus peuvent être aussi à l’origine de ces résorptions.

 

Les dents ayant été affectées par une importante rhizalyse nécessiteront un traitement particulier utilisant un système de contention à long terme dans le but de réduire la charge occlusale sur la dent résorbée. Ces appareils visent à stabiliser les dents affectées et à distribuer les forces appliquées sur une dent ou à plusieurs d’entre elles, diminuant ainsi l’impact pour une dent ayant une racine plus courte.

 

Radiographie exposant le risque de rhizalyse. Radiographie qui montre le risque de rhizalyse.

 

Les troubles de l’articulation temporo-mandibulaire (ATM)

 

Chez certains patients, les articulations des mâchoires peuvent être très sensibles aux malocclusions et au rétablissement d’une occlusion correcte par l’orthodontie. Ces patients peuvent souffrir d’une ouverture buccale limitée, de crépitements, claquements, craquements ou douleurs aux ATM. Cependant, ces signes sont dans la majorité des cas signalés chez des patients n’ayant pas eu recours à un traitement orthodontique. 

Les corrections de malpositions dentaires par l’orthodontie peuvent améliorer le fonctionnement des ATM sans toutefois garantir l’amélioration ou l’élimination des symptômes. Des symptômes peuvent même apparaitre sans que l’orthodontie en soit la cause.

 

Radiographies qui présentent le risque de luxation.

 

La récidive


La récidive est le retour vers la situation initiale au niveau squelettique, alvéolaire et/ou dentaire, c’est à dire la réapparition des malpositions et des malocclusions.

C’est toujours une situation difficile à accepter tant pour le patient que pour le praticien. De nombreux facteurs sont évoqués pour expliquer cette récidive : croissance, équilibre musculaire, fonction occlusale, évolution de la dentition, état parodontal...

La contention est l’ensemble des procédés permettant de s’opposer à cette récidive, en stabilisant les corrections orthopédiques et orthodontiques obtenues pendant le traitement.

C’est la phase thérapeutique finale du traitement orthodontique.

Son port doit être très rigoureux pour conserver le résultat obtenu par le traitement orthodontique. 

 

La nécrose pulpaire suite à un mouvement orthodontique

 

Le déplacement orthodontique d’une dent sollicite son environnement parodontal et induit un remodelage de l’os périphérique, ainsi que des modifications de la vascularisation de la dent. Dans la majorité des cas ce renouvellement osseux se passe sans incidence pour la dent mais dans certains cas on peut constater une résorption radiculaire, une oblitération pulpaire ou encore une nécrose de la dent. La nécrose dentaire peut aussi être due à une carie ou un traumatisme survenu sur la dent. La nécrose dentaire se manifeste par une perte de la sensibilité et un changement de couleur de la dent.

 

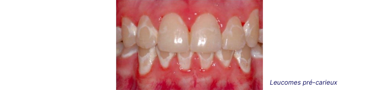
Les leucomes précarieux (white spot) 

 

Dans le cas d’un brossage insuffisant, sur une longue période, un dépôt de plaque dentaire autour des bagues et à la limite de la gencive peut entrainer un début de déminéralisation de l’émail se traduisant par une marque blanchâtre (leucome pré-carieux). Dans un premier temps, cette marque est réversible à l’aide de traitements fluorés, mais est irréversible à un stade avancé. Le stade suivant étant une carie, il est parfois préférable de retirer l’appareil alors que le traitement n’est pas terminé.

 

Ensemble de deux images qui illustrent le risque de leucomes.

 

L'évolution de la santé parodontale 

 

Le 1er signe d’un brossage mal adapté est l’inflammation de la gencive appelée gingivite. Elle rougit, gonfle et/ou saigne lors du brossage. Dans ce cas, il faut alors insister sur la zone sensible en augmentant la fréquence et la durée du brossage sur celle-ci.

Avant de débuter un traitement orthodontique, majoritairement chez l’adulte, une consultation chez un parodontiste sera demandée afin d’évaluer le risque parodontal et la faisabilité du traitement.

Cela permet d’éviter toute aggravation d’une maladie parodontale appelée parodontite ou d’une récession gingivale.

 

L’hygiène bucco-dentaire et un brossage irréprochable sont indispensable pour mener à bien un traitement orthodontique.

 

Infographie qui montre le risque de récession parodontale.