pictos-appareillagesorthopedie

Appareillages d'orthopédie

pattern

DES APPAREILS ADAPTES POUR CORRIGER LES DÉCALAGES SQUELETTIQUES ET FAVORISER LA CROISSANCE

L'orthodontie n'est pas seulement une question d'alignement des dents. Il est également important de corriger les problèmes de mâchoires et de crâne pour obtenir des résultats durables et éviter les complications futures.
 
Les appareils orthopédiques permettent la correction de décalages squelettiques en stimulant ou en freinant la croissance. Ces appareils sont utilisés pendant la période de croissance du patient, de préférence en denture mixte stable et parfois en denture temporaire. Ils peuvent ainsi éviter la nécessité d'une intervention chirurgicale.
 
Pour vous aider à préserver votre sourire, le cabinet Ortho'Victoire utilise différents appareils orthopédiques : le disjoncteur, le G2C (= Guide de Croissance de Valéro), le Duccovateur, le masque de Delaire, le Plan rétro-incisif et le distaleur du maxillaire.

 


Qu'est-ce que le DISJONCTEUR en orthodontie ?


Le disjoncteur est un appareil fixe, collé sur l’arcade supérieure, permettant la disjonction de la suture intermaxillaire, c’est à dire l’expansion du palais dans le sens transversal. Cette disjonction permet de corriger les articulés inversés latéraux et de favoriser la respiration nasale par élargissement des fosses nasales. Après la pose de l’appareil, il faudra faire un tour par jour au niveau du vérin médian pendant environ 1 mois, selon nécessité. Il y aura ensuite une phase de stabilisation pendant 3 à 6 mois. Pendant la disjonction, il apparait souvent un diastème inter-incisif qui se refermera.

 

 

Ensemble de 2 images juxtaposées, présentant pour celle de gauche l'installation en cours d'un appareillage disjoncteur et pour la seconde image, la mise en place terminée de cet appareillage.

 

 

Qu'est-ce que le GUIDE DE CROISSANCE DE VALERO (G2C) ?

 

Le Guide de Croissance (G2C) est un appareil orthopédique amovible pour corriger les décalages squelettiques de Classes II avec rétromandibulie par stimulation de la croissance de la mâchoire inférieure trop en arrière. Elle prend en compte le fonctionnement des muscles masticateurs et utilise la propulsion volontaire du patient afin d’obtenir des résultats qualitatifs et stables, visibles en bouche et sur le profil du patient.  Pour cela, il nécessite un port continu, jour et nuit sauf repas et brossage, pendant 12 à 18 mois.

Le G2C se compose de deux appareils amovibles (supérieur et inférieur), reliés par des tiges incitant la propulsion mandibulaire.

 

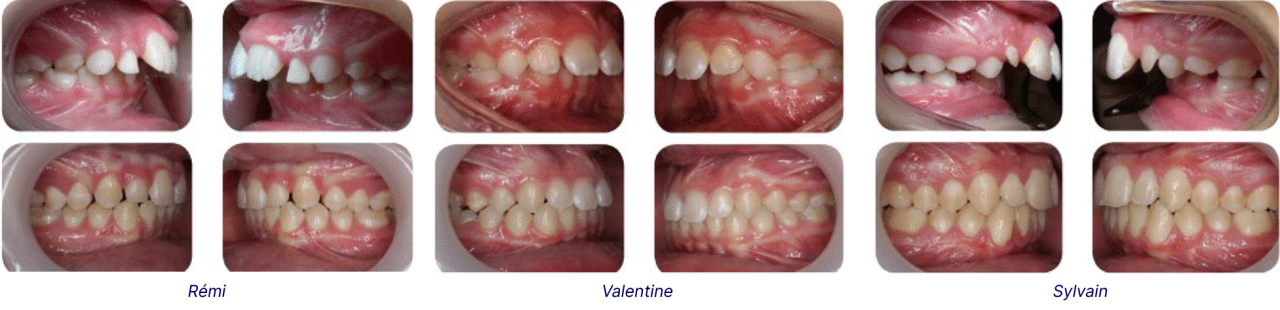
Ensemble de 12 photographies disposées en 3 blocs de 4 photos présentant les dentitions, avant et après corrections, de 3 enfants.

 

De beaux résultats orthopédiques, visibles sur le profil.

 

infographie présentant à gauche les profils de 2 enfants, avant et après l'appareillage, et sur la droite, les deux appareillages ayant permis d'atteindre ces résultats correctifs.

 

 

Qu'est-ce que le DUCCOVATOR en orthodontie ?


Le Duccovator est un appareil orthopédique amovible utilisé pour corriger les décalages squelettiques de Classe II (mâchoire du bas en arrière) par propulsion volontaire du patient, tout en élargissant le palais grâce à un système de vérin. Il se compose de deux appareils amovibles (supérieur et inférieur), qui lors de la mastication, s’imbriquent grâce à des pistes incitant la mâchoire inférieure à être positionnée en avant (propulsion guidée). Il se porte 24h/24, sauf pour le brossage.

 

 

Qu'est-ce que le MASQUE DE DELAIRE en orthodontie ?

Le masque de Delaire est un appareil orthopédique utilisé pour corriger les décalages squelettiques de la mâchoire supérieure trop en arrière. Il favorise la croissance du maxillaire vers l’avant, tout en freinant la croissance de la mandibule.
Le masque est constitué de deux appuis frontal et mentonnier, d’un double arc scellé ou d’un multibagues sur la mâchoire du haut et d’élastiques à mettre afin de tracter le maxillaire en avant. Il se porte la nuit et 2h en journée, soit 12 à 14h/j, pendant 1 an minimum.

 

Double visuels présentant l'appareillage d'un jeune garçon : à gauche, une vue de face et centrée sur la mâchoire et à droite, une vue du visage dans son ensemble, de profil trois quart.

 

 

Qu'est-ce que le PLAN RETRO-INCISIF en orthodontie (PRI) ?


Le plan rétro-incisif est un appareil orthopédique amovible permettant de corriger les décalages dans le sens vertical lorsque les incisives supérieures plongent et recouvrent trop les incisives inférieures. L’épaisseur de la plaque en résine en arrière des incisives supérieures permet de décroiser les mâchoires et d’égresser les molaires. Il peut également comporter un vérin médian pour élargir le palais dans le sens transversal. Il se porte 24h/24 sauf pour le brossage.

 

 

Qu'est-ce que le DISTALEUR MAXILLAIRE en orthodontie ?

 

Le distaleur est un appareil constitué de deux arcs sectionnels, droite et gauche, fixés de la canine à la molaire, associés à une gouttière et des élastiques, qui portés 21h/24 permettent la distalisation des secteurs latéraux postérieurs, afin d’obtenir un bon calage postérieur. Il permet de raccourcir la durée du traitement par multibagues, en favorisant le recul et la correction de l’inclinaison des incisives supérieures trop en avant.

 

Illustration montrant l'installation d'un distaleur maxillaire dans une bouche.

 

Si vous avez des questions sur les appareillages d'orthopédie ou si vous souhaitez en savoir plus sur la façon dont Ortho'Victoire peut vous aider, n'hésitez pas à nous contacter pour prendre rendez-vous avec le cabinet.