Illustration qui évoque les gestes de prévention et les techniques de rééducation

Prévention & rééducation fonctionnelle

pattern

Pour éviter l’apparition d’une dysmorphose

Le but de la prévention est d’éviter l’apparition d’une dysmorphose.
Pour cela, il faut normaliser les fonctions oro-faciales et supprimer les parafonctions.


Qu'est-ce qu'une PARAFONCTION ?


Une parafonction est une habitude néfaste volontaire ou inconsciente, qui perturbe la bonne position des dents et des mâchoires.


Les parafonctions les plus fréquentes sont :

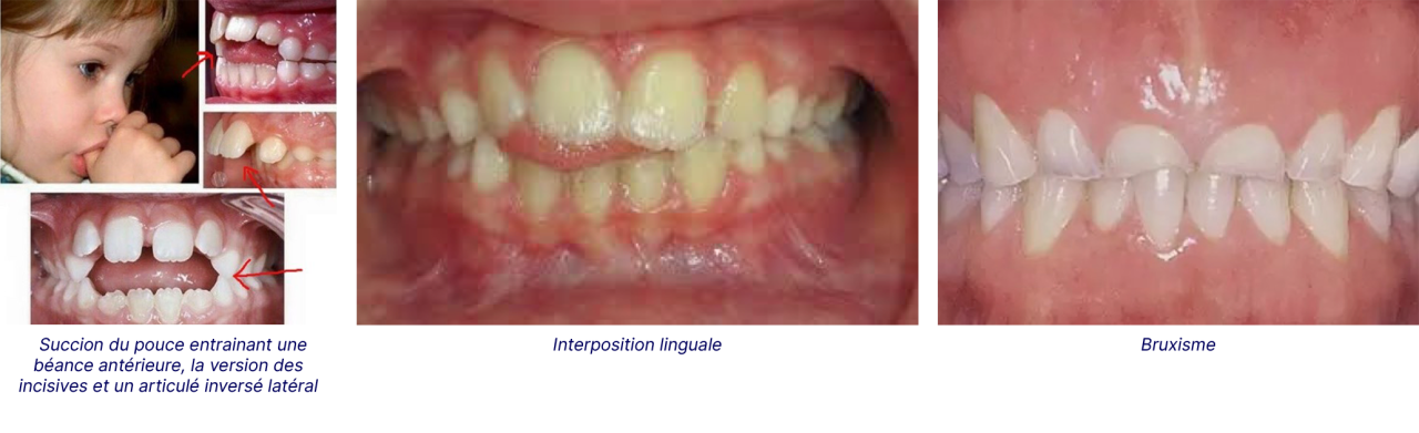
  • La succion du pouce, des doigts ou de la tétine
  • L’interposition labiale (lèvre) et/ou linguale
  • Les tics de mordillement ou d’aspiration de la lèvre ou de la joue
  • Le bruxisme (grincement des dents)
  • L’onychophagie (ronger ses ongles)

 

Mosaïque de 5 images présentant les 5 parafonctions les plus fréquentes : succion du pouce, interposition labiale, tics de mordillement, bruxisme, et onychophagie.

 

Il est important de supprimer toutes les parafonctions le plus tôt possible, afin d’éviter toute apparition ou installation d’une anomalie dentaire et/ou squelettique.

 

 

Qu'est ce qu'une DYSFONCTION ? 

Une dysfonction est une fonction oro-faciale incorrectement exécutée par le patient.
Elle provoque un déséquilibre oro-facial et entraine l’apparition ou l’aggravation d’une dysmorphose (anomalie de croissance des mâchoires).
Les dysfonctions sont :

  • Une ventilation buccale ou qui n’est pas exclusivement nasale :
    - Causes :
    au niveau du nez : cloison nasale déviée, polypes, hypertrophie des cornets nasaux
    au niveau labial : lèvre supérieure courte
    au niveau lingual : posture linguale basse
    au niveau pharyngé : végétations et amygdales hypertrophiques
    - Conséquences : une étroitesse du maxillaire associée à un encombrement dentaire, des inclusions dentaires, des articulés inversés, des béances, des décalages et malocclusions dentaires…

Le développement du visage est différent si on respire par la bouche.

Si un enfant respire par la bouche, ronfle, a un sommeil agité ou se réveille avec la bouche sèche il est important de consulter un orthodontiste.

 

Infographie présentant en vis-à-vis le profil d’une petite fille qui, à gauche respire par la bouche et à droite respire par le nez. Cette infographie illustre les différences de développement du visage de cette petite fille.

 

  • Une déglutition dysfonctionnelle, se caractérise par une interposition linguale et/ou par une contraction des muscles peauciers et provoque des troubles squelettiques variables.
    Cela peut être causé par un frein lingual court, une hyper ou hypo tonicité linguale, une ventilation buccale ou une mauvaise posture de la langue.
     

Illustration en 2 parties, présentant à gauche une déglutition atypique, en raison de la position de la langue trop basse et mal placée et une déglutition corrigée à droite, avec une langue haute et bien placée.

 

  • Une phonation dysfonctionnelle est associée à une mauvaise posture linguale (zozotement, chuintement…). Des séances d’orthophonie sont conseillées.
     
  • Une mastication dysfonctionnelle est caractérisée par une mastication asymétrique ou réalisée exclusivement d’un seul côté.
    Cela peut entrainer une étroitesse de l’arcade supérieure, un articulé inversé lié à un latéroglissement mandibulaire, une asymétrie de la croissance condylienne, une usure occlusale anormale.

 

Pour en savoir plus sur la prévention et la rééducation fonctionnelle, n'hésitez pas à contacter le cabinet pour une consultation.